- 17/02/2024
Vacinação contra a dengue em Manaus começa na quinta-feira
A vacinação contra a dengue de crianças de 10 a 11 anos vai começar em Manaus na quinta-feira (22), anunciou
- 17/02/2024
Amazonas: segundo da região Norte com mais tentativas de fraude
A região Norte teve 42.347 tentativas de fraude em novembro de 2023. Com 9.185 casos, Amazonas é o segundo estado
- 17/02/2024
Demissões voluntárias batem recorde no Brasil, aponta pesquisa
As demissões voluntárias bateram recorde em 2023, aponta um levantamento feito pela LCA consultores com base em dados do Ministério
- 16/02/2024
Polícia apreende cerca de 26 kg de drogas no Amazonas
A Polícia Militar do Amazonas (PMAM), por meio do 3º Batalhão de Polícia Militar (BPM) de Tefé (a 523 quilômetros
- 16/02/2024
Pesquisa do Procon Manaus mostra preço mais baixo da gasolina
O Serviço de Atendimento e Proteção ao Consumidor (Procon Manaus) divulgou nesta quinta-feira (15) os resultados da última pesquisa sobre
- 16/02/2024
Curso empreendedores: Manaus divulga nomes dos selecionados para nova turma
A Prefeitura de Manaus, por meio da Secretaria Municipal do Trabalho, Empreendedorismo e Inovação (Semtepi), e do Fundo Municipal de
- 16/02/2024
Prefeitura começa obra contra erosão na zona Leste de Manaus
A prefeitura de Manaus iniciou ontem (15), por meio da Secretaria Municipal de Obras (Seminf), uma grande obra de contenção
- 16/02/2024
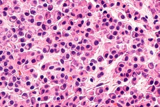
Fevereiro Laranja: genética usada contra leucemia em crianças e adolescentes
A cada ano, cerca de 400 mil crianças e jovens até 19 anos em todo o mundo são diagnosticados com
- 16/02/2024
Polícia encontra rastros dos fugitivos do presídio de Mossoró
A força-tarefa montada para tentar recapturar os dois fugitivos da Penitenciária Federal de Mossoró encontrou nesta sexta-feira pegadas e objetos que podem
- 16/02/2024
Travessia em rio na BR-319 será suspensa nesta sexta
O Dnit (Departamento Nacional de Infraestrutura de Transportes) informa que está programada uma suspensão temporária da operação da balsa que
- 16/02/2024
‘Fies Social’: bolsa de 100% para estudante de baixa renda
O Ministério da Educação (MEC) lançou nova versão do Fundo de Financiamento Estudantil, p Fies Social, que vai custear 100%
- 16/02/2024
MPF recomenda que Google retire vídeo que expõe crianças yanomami
Procurador também recomenda que o Google abstenha-se de publicar qualquer outro vídeo que exponha a imagem de criança indígena em
- 16/02/2024
Prefeito vistoria obras e anuncia entrega de feira e creches
O prefeito de Manaus, David Almeida, anunciou, para o próximo dia 23 de fevereiro, a entrega da feira municipal do
- 16/02/2024
Seca histórica matou 12% da população de botos no Amazonas
Balanço final de ONG mostra que 330 botos morreram na vazante do ano passado, a maioria cor-de-rosa, no Lago Tefé
- 16/02/2024
Quase 76 mil amazonenses vão fazer Concurso Público Nacional Unificado
De acordo com informações do Ministério da Gestão e da Inovação em Serviços Públicos (MGI), o Amazonas registrou 75.904 mil
- 16/02/2024
Inscrições para 25 mil vagas gratuitas em cursos profissionalizantes no
As inscrições para os cursos de qualificação profissional do Centro de Educação Tecnológica do Amazonas (Cetam), na modalidade de Ensino
- 16/02/2024
Quatro bairros de Manaus ficam sem energia nesta sexta
Nesta sexta-feira (16), quatro bairros de Manaus ficarão sem energia elétrica, conforme programação da concessionária Amazonas Energia. Segundo a empresa,
- 16/02/2024
Sine Manaus oferta 368 vagas de emprego nesta sexta-feira
A Prefeitura de Manaus, por meio do Sine Manaus, oferta 368 vagas de emprego em várias áreas de atuação, nesta
- 16/02/2024
BR-319: pontes destruídas no Amazonas devem ficar prontas em 2025
Dnit definiu a empresa STE Serviços Técnicos de Engenharia SA. para supervisionar execução dos serviços. A empresa STE Serviços Técnicos
- 16/02/2024
Nove PMs são presos por desvio de meia tonelada de
Um tenente, dois sargentos, quatro cabos e dois soldados da Polícia Militar do Amazonas foram presos, nesta quinta-feira (15), em Manaus,


